Shunt intrahépatique G traité par voie endovasculaire

Partager ce poste

Par Hervé BRISSOT, DipECVS, spécialiste en chirurgie

Une jeune chienne Border Collie de 8 mois présentée pour encéohalose hépatique a été diagnostiquée avec un shunt intra-hépatique de la division gauche du foie (persistance du ductus venosus), plus particulièrement le lobe latéral gauche. Le diagnostic a été établi après échographie et confirmation de l'anatomie précise du shunt par angioscanner triple phase.

Un traitement chirurgical est proposé et une approche endovasculaire est choisie.

Un mini-accès chirurgical (incision cutanée de 5 cm) est pratiquée au niveau de la veine jugulaire droite et une gaine d’accès vasculaire est mise en place.

Sous contrôle fluoroscopique, un cathéter d’angiographie est mis en place au travers de la veine jugulaire et de l’atrium droit jusque dans la veine cave caudale. Un second cathéter est mis en place de la même façon mais cette fois pour cathétériser le shunt à partir de son abouchement dans la veine cave.

Différentes séquences d’angiographie sont réalisées pour mesurer la taille de la veine cave et du shunt et ces mesures sont comparées à celles obtenues grâce à l'angioscanner.

Un stent (cage) est mis en place dans la veine cave caudale de manière à couvrir l’abouchement du shunt avec une marge de 2 cm de part et d’autre.

Les 2 cathéters sont alors mis en place dans le shunt au travers du stent pour :

- mesurer la pression dans le shunt,

- réaliser une angiographie sélective du shunt et évaluer la portalisation intra hépatique, c'est à dire la reprise de la vascularisation porte intrahépatique une fois le shunt occlu.

- mettre en place dans le shunt des coils thrombogéniques pour pouvoir l’atténuer progressivement.

Après le largage de chaque coil, une angiographie est réalisée. Un des 2 cathéters est simplement dévoué à la mesure en continu de la pression portale.

Après mise en place de 7 coils on observe une augmentation significative de la pression portale par rapport à la mesure initiale (on recherche ainsi une mesure de la pression initiale plus 8 cm d'eau) et une nette amélioration de la portalisation intrahépatique avec des vaisseaux de 3ème et 4ème génération. La procédure est donc interrompue pour ne pas générer d’hypertension portale. La veine jugulaire est ligaturée et la plaie cervicale suturée.

La chienne est rendue à ses propriétaires 48h après l'intervention.

Trois mois après l’intervention, la chienne présente un état général et une activité normales pour une chienne de son âge et de sa race. Il n’y a plus de signes de polyuro-polydipsie. Il n’y a plus de traitement autre qu’un régime hyperdigestible de haute qualité et des antiacides. Les analyses biologiques montrent une nette amélioration de la protéinémie et spécifiquement de l’albuminémie ce qui signe une fonction hépatique améliorée. Les valeurs mesurées lors du test de stimulation des acides biliaires restent anormales, toutefois on note une très nette amélioration des valeurs mesurées en pré-opératoire. Compte tenu de ces résultats biologiques et surtout cliniques il n’apparait pas nécessaire de revoir l’atténuation et d’ajouter des coils supplémentaires.

Le traitement chirurgical du shunt intrahépatique est plus délicat que pour les shunts extra-hépatiques. Il nécessite la dissection du parenchyme hépatique avec des risques d’hémorragie et de plaies vasculaires possiblement fatales. La ligature complète est possible dans seulement 15 à 20 % des cas. Une mortalité péri-opératoire de 20 à 40% est rapportée.

La chirurgie endoscavulaire assure une approche beaucoup moins agressive et des risques hémorragiques minimes. Un contrôle méticuleux de la pression portale est nécessaire car une fois largués les coils ne sont plus retirables. Le système est toutefois versatile et il est possible de larguer plus de coils durant une seconde procédure en repassant par la même veine jugulaire. Outre une morbidité et mortalité peri-opératoire minime par rapport à l’approche traditionnelle, elle autorise un résultat final comparable voire supérieur.

L’équipe d’Azurvet est heureuse d’être en mesure d’offrir cette approche novatrice à vos patients.

Photo1 : Scanner hépatique, après injection de produit de contraste, coupe transverse. On observe un shunt intrahépatique de la division gauche du foie connectant directement la veine porte à la veine cave. On observe peu de vaisseaux porte intrahépatique.

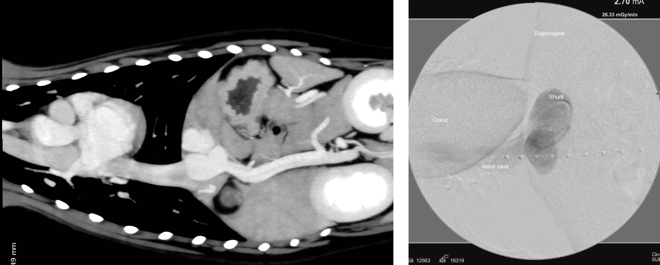
Photo 2 (Gauche) : Scanner abdominal, après injection de produit de contraste, coupe dorsale

Photo 3 (Droite) angiographie sélective du shunt peropératoire sous fluoroscopie (image en soustraction où le produit de contraste apparait noir), même orientation que la photo 2.

Photo 4 : Vue fluoroscopique per opératoire : un stent a été libéré dans la veine cave en regard de l’abouchement du shunt.

Photo 5 : Vue fluoroscopique per opératoire : une construction de coils thrombogenique est mise en place dans le shunt pour couvrir son abouchement dans la veine cave. Le stent prévient la migration des coils dans la veine cave et vers le cœur.

Photo 6 : Vue fluoroscopique per opératoire : angiographie sélective du shunt en soustraction. En fin d’intervention l’angiographie permet d’observer la recirculation du produit de contraste dans de multiples arborisations porte qui n’étaient pas observables lors de l’angiographie initiale.

Image 8 : vue arthroscopique de la face médio-caudale de la tête humérale. Curetage du « lit » du défect cartilagineux (a). Tête humérale (b).

Image 9 : Saignement capillaire post curetage du « lit » du défect cartilagineux.