Par Laurent Couturier, DipECVDI, spécialiste en imagerie médicale
Echographie abdominale du jéjunum d'un pinscher de 9 ans présenté pour diarrhée aigue

Voici les images échographiques d'un Pinscher de 9 ans présenté pour diarrhée aigue depuis 4j avec hypoalbuminémie à 12g/L mise en évidence par le vétérinaire traitant.
Quelles anomalies jéjunales échographiques observez vous ?
1️⃣ un discret épanchement abdominal et un épaississement intestinal
2️⃣ un discret épanchement abdominal, une muqueuse hyperéchogène et un épaississement intestinal
3️⃣ un discret épanchement abdominal, une sous muqueuse hyperéchogène et un épaississement intestinal
4️⃣ un discret épanchement abdominal, une musculeuse hyperéchogène et un épaississement intestinal
Si vous avez coché le choix 2, c'est la bonne réponse 😁
Les entéropathies chroniques du chien (une fois éliminées les causes parasitaires et extradigestives) sont souvent classées en plusieurs sous groupes :
- les entéropathie répondant au changement alimentaire seul.
- les entéropathies répondant à un traitement antibiotique seul
- les entéropathies inflammatoires (lymphoplasmocytaires, éosinophiliques, granulomateuses) répondant à une thérapie par AIS ou immunosuppressive ("maladie intestinale inflammatoire idiopathique")
Les entéropathies exsudatives désignent un groupe hétérogène de pathologies caractérisées par une perte excessive de protéines plasmatiques via le tractus digestif, en l'absence de fuite rénale ou de trouble de synthèse hépatique.
En médecine humaine, les causes sont les suivantes :
A. FORMES PRIMAIRES (CONGÉNITALES)
Lymphangiectasie intestinale primitive (ou maladie de Waldmann)
Anomalie du développement des vaisseaux lymphatiques intestinaux
Forme congénitale, souvent chez l’enfant
Entéropathie exsudative génétique
B. FORMES SECONDAIRES (ACQUISES)
1. Causes lymphatiques (obstruction ou dilatation secondaire des vaisseaux lymphatiques)
Lymphangiectasie intestinale secondaire :
- Compression lymphatique : tumeur, lymphome, fibrose rétropéritonéale
- Hypertension portale
- Péricardite constrictive, insuffisance cardiaque droite
2. Causes inflammatoires ou ulcératives
Maladie inflammatoire chronique de l’intestin (MICI)
- Maladie de Crohn, rectocolite hémorragique
Gastroentérite éosinophile
Maladie cœliaque
Infections digestives chroniques
- Tuberculose intestinale, giardiase, strongyloïdose
3. Causes tumorales
Lymphome intestinal
Carcinomatose péritonéale
4. Causes post-chirurgicales
Résection intestinale massive
L'échographie a une place centrale dans l'évaluation de l'intestin lors de suspicion d'entéropathie :
- appréciation de la paroi digestive : épaisseur normal ou augmentée, structure en couches conservées ou altérée, appréciation de l'échogénicité individuelle de chaque couche (muqueuse notamment), appréciation du péristaltisme, du contenu.
- évaluation des structures associées :
* NL locorégionaux : taille / forme et contours / échogénicité / focis hypoéchogènes / stéatite éventuelle
* pancréas, foie
* cavité péritonéale : épanchement éventuel
L'histologie (biopsies sous endoscopie de qualité, étagées et nombreuses) reste le gold standard et permettra également d'écarter tout processus néoplasique associé à l'entéropathie.
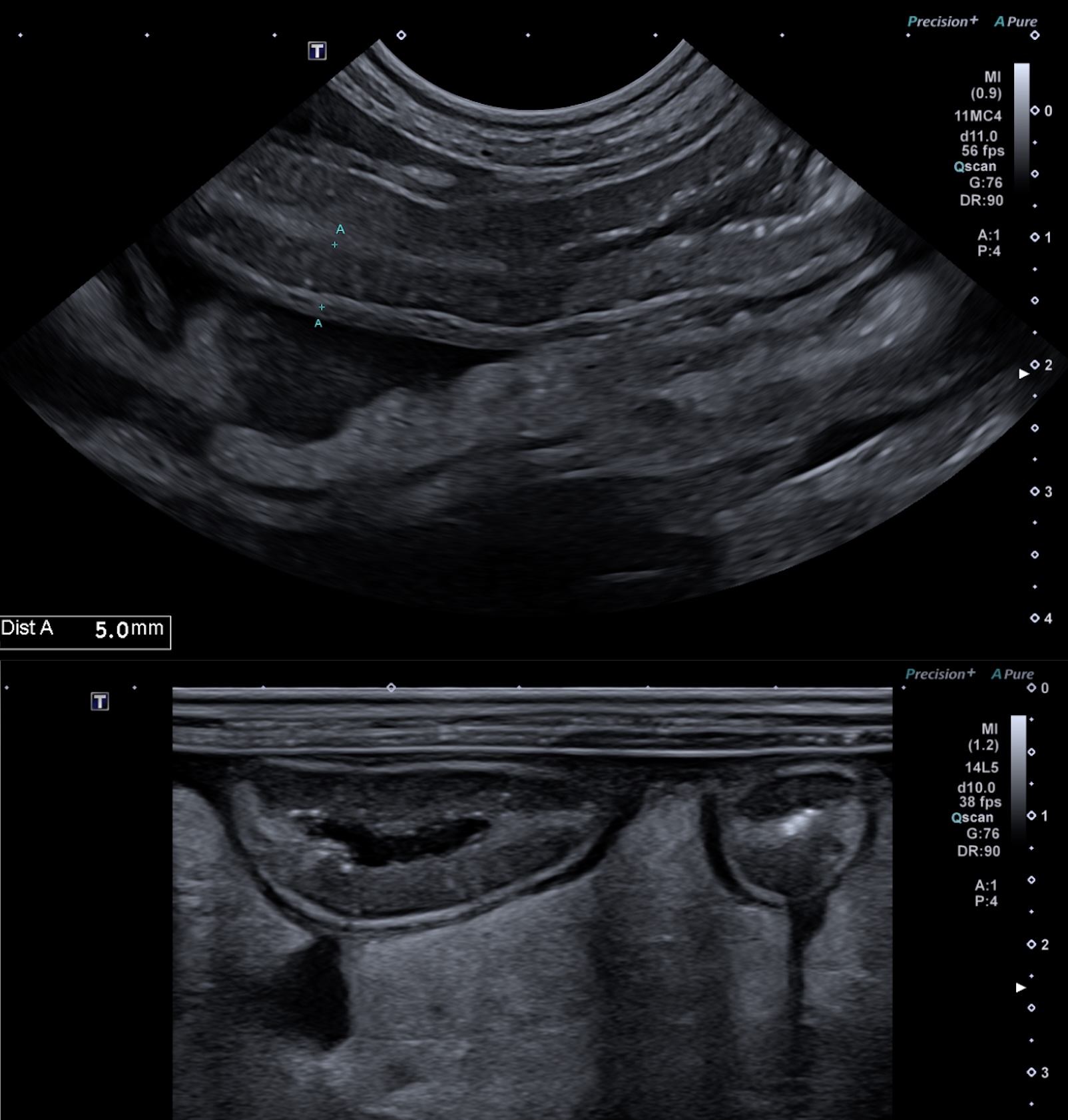
Les lésions muqueuses hyperéchogènes sont typiques d'entéropathie avec perte de protéines chez le chien avec une sensibilité de 76% et une spécificité de 96% dans l'étude de Gaschen et al. Lors de suspicion d'entéropathie chronique chez le chien, la mesure de l'épaisseur seule de l'intestin n'est ni sensible ni spécifique de la présence d'une entéropathie (nombreux faux négatifs). Il convient alors d'apprécier l'aspect de la muqueuse, qui peut présenter soit des "speckles" (= "mouchetures", signe non spécifique ne permettant pas de distinguer le type d'entéropathie), soit des stries hyperéchogènes - figure 1 ci dessous - (corrélé à l'histologie avec une dilatation des glandes lactéales chez le chien, d'après l'étude de Sutherland-Smith et al). Les lymphangiectasies intestinales primitives (ou maladie de Waldmann en médecine humaine), sont caractérisées par des dilatations lymphatiques digestives. Elles entrainent une fuite lymphatique (chyle) dans la lumière intestinale responsable d’une gastro-entéropathie exsudative avec hypoalbuminémie notamment.

Figure 1 : lésions échographiques lors de lymphangiectasie chez un pinscher de 9 ans. Noter l'épaississement pariétal à 5 mm d'une anse jéjunale, la présence de striations et de mouchetures hyperéchogènes dans la couche muqueuse.
Une fois les lésions digestives et les NL locorégionaux identifiées, les autres lésions potentiellement associées doivent être recherchées, en particulier :
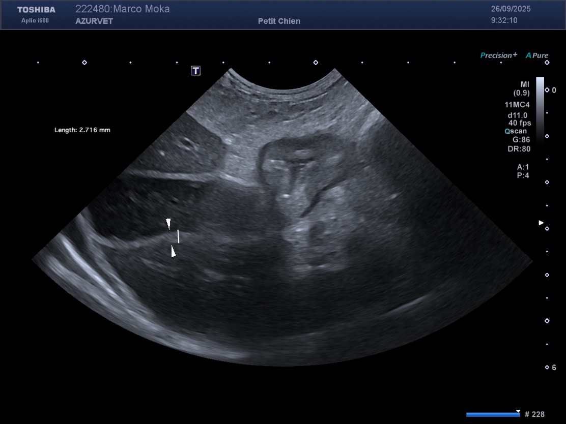
1) Un épaississement de la paroi de la vésicule biliaire lié à un oedème pariétal (secondaire à l'hypoalbuminémie) : figure 2 ci dessous.

Figure 2 : épaississement pariétal discret de la paroi de la VB chez le même animal que la figure 1.
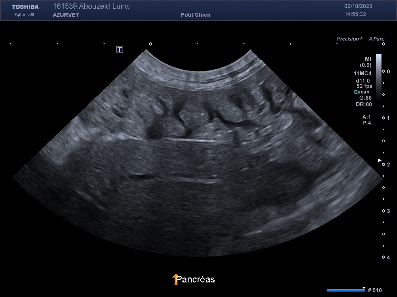
2) Un épaississement avec aspect zébré du pancréas (travées hypoéchogènes lunéaires) lié à un oedème (secondaire à l'hypoalbuminémie) : figure 3 ci dessous.

Figure 3 : échographie du pancréas d'un Cairn de 9 ans souffrant de lymphiectasie avec épaississement et aspect zébré du pancréas.
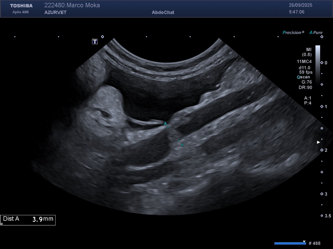
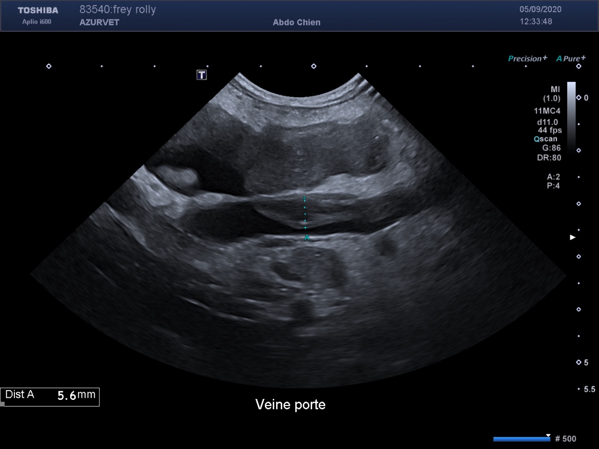
3) la recherche de thrombus artériel ou veineux (secondaire à la fuite de protéines anticoagulantes dans le tube digestif) : figure 4 et 5 ci dessous.

Figure 4 : thrombus dans l'artère iliaque externe G du Pinscher des figures 1 et 2. L'animal présentait une boiterie du membre pelvien G apparue de façon concomittabte aux troubles digestifs.

Figure 5 : thrombus porte sub occlusif chez un bouledogue français souffrant de lymphangiectasie.
En conclusion, les limites de l'échographie doivent être connues lors de l'aprréciation de la paroi digestive (notamment en terme d'épaisseur) lors de suspcion d'entéropatjie chronique et seules les entéropathies avec perte de protéines présentent un aspect échographique typique avec présence de stries hyperéchogènes muqueuses.
Bibliographie
1.GASCHEN, L. et al. COMPARISON OF ULTRASONOGRAPHIC FINDINGS WITH CLINICAL ACTIVITY INDEX (CIBDAI) AND DIAGNOSIS IN DOGS WITH CHRONIC ENTEROPATHIES. Vet. Radiol. Ultrasound 49, 56–64 (2008).
2.SUTHERLAND‐SMITH, J., PENNINCK, D. G., KEATING, J. H. & WEBSTER, C. R. L. ULTRASONOGRAPHIC INTESTINAL HYPERECHOIC MUCOSAL STRIATIONS IN DOGS ARE ASSOCIATED WITH LACTEAL DILATION. Vet. Radiol. Ultrasound 48, 51–57 (2007).