Diagnostic et pronostic des mélanomes chez le chien

Partager ce poste

Par Nicolas GIRARD, DipEVDC, spécialiste en dentisterie, Service de Dentisterie - Stomatologie - ORL

Diagnosis and Prognosis of Canine Melanocytic Neoplasms Rebecca C. Smedley, Kimberley Sebastian and Matti Kiupel. (Vet. Sci. 2022, 9, 175).

Le comportement biologique des tumeurs est variable suivant les espèces concernées, mais aussi suivant le territoire corporel affecté. À ce titre les tumeurs mélanocytaires présentent, chez le chien, un pronostic à long terme bien différent suivant que leur évolution soit en territoire cutané ou oral. Cet article de revue scientifique se propose d’établir les données actuelles permettant de préciser le diagnostic et le pronostic des tumeurs mélanocytaires chez le chien.


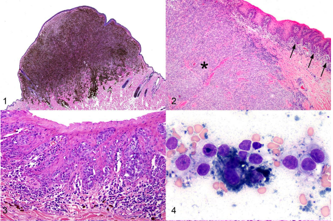
*Le diagnostic d’une tumeur mélanocytaire pigmentée est très efficace par cytologie avec une sensibilité et une spécificité de 100%. Pour une tumeur non pigmentée la sensibilité de l’examen est par contre limitée (67%-100%) ainsi que sa sensibilité (85%-100%). L’examen d’histologie est donc recommandé pour le mélanome achromique. Un des critères diagnostiques importants est la présence de cellules néoplasiques au niveau de la jonction sub épithéliale. Dans le cadre du prélèvement l’épithélium de la lésion doit donc être privilégié en étendant celui-ci un peu plus en périphérie de la lésion, notamment si celle-ci présente un aspect ulcératif. Pour les cas indécis une analyse d’immunohistochimie (IHC) de référence comprend les marqueurs Melan-A, PNL-2, tyrosine reactive proteine (TRP)-a et TRP-2. Ce cocktail d’anticorps a démontré une sensibilité de 94% et une spécificité de 100% en comparaison du diagnostic différentiel avec un sarcome des tissus mous.

*Le pronostic des néoplasmes mélanocytaires cutanés ou buccaux canins est analysé à l’aide des paramètres du signalement, la localisation, l’examen cytologique et/ou histologique, les marges opératoires et la qualité du drainage lymphatique. Les paramètres histologiques et moléculaires sont les facteurs pronostiques les plus utiles : dans ce cadre l'indice Ki-67 est considéré comme le facteur pronostique le plus fiable.


-Plus en détail, le signalement ne doit jamais être utilisé comme facteur pronostique autonome du mélanome chez le chien, car sa spécificité est faible. Certaines races sont plus susceptibles de développer des tumeurs mélanocytaires bénignes (Doberman Pinscher et les Schnauzer nains), tandis que d'autres (Caniches nains) sont plus susceptibles de développer des formes malignes. Les chiens âgés peuvent être plus enclins à développer des mélanomes malins que les chiens plus jeunes. Une étude a démontré que l'âge influençait négativement la survie des chiens atteints de néoplasmes mélanocytaires des lèvres, des doigts et de la peau. Cependant, en raison de la probabilité plus élevée de complications périopératoires et de comorbidités chez les patients plus âgés, il est difficile d'évaluer l'indépendance de l'âge en tant que paramètre pronostique. Le sexe n'a pas été associé au résultat.


-La localisation manque de spécificité en tant que facteur pronostique unique. En général, les mélanomes de la cavité buccale, des jonctions cutanéo-muqueuses et du lit ungéal sont de plus mauvais pronostic que les néoplasmes mélanocytaires cutané. Une étude a rapporté que les néoplasmes mélanocytaires oraux avaient les durées de survie les plus courtes, les néoplasmes mélanocytaires du lit ungéal et des jonctions cutanéo-muqueuses avaient des durées de survie intermédiaires, tandis que les néoplasmes mélanocytaires cutanés avaient la plus longue médiane de survie. Le mélanome du lit ungéal tend à être malin, tandis que celui localisé à la peau de l’abdomen est plus souvent bénin. Cependant des néoplasmes mélanocytaires moins agressifs peuvent apparaître au niveau du lit ungéal, des jonctions cutanéo-muqueuses ou de la cavité buccale, ou la cavité buccale. On observe notamment dans la cavité buccale ou les jonctions cutanées un sous-ensemble histologiquement distinct de néoplasmes mélanocytaires (cavité buccale et babines) qui présente un comportement biologique moins agressif.


-Les atypies nucléaires, le nombre de mitoses, le degré de pigmentation, le niveau d'infiltration et l'invasion vasculaire sont actuellement les paramètres histologiques les plus utiles pour prédire le pronostic des néoplasmes mélanocytaires cutanés et bucco-labiaux. L'ulcération et l'épaisseur de la tumeur sont également des facteurs pronostiques utiles pour les néoplasmes mélanocytaires cutanés. Un certain nombre de critères histologiques permettent aux pathologistes de distinguer les néoplasmes mélanocytaires canins des néoplasmes mélanocytaires oraux, ainsi que les néoplasmes mélanocytaires oraux canins à faible potentiel malin des mélanomes malins oraux agressifs.

Les néoplasmes mélanocytaires oraux à faible potentiel de malignité ressemblent le plus aux naevus bleus humains. Ils se présentent sous la forme d’une masse fortement pigmentée, non ulcérée, pédiculées, dont le diamètre est généralement inférieur à 1 cm. Les cellules néoplasiques sont uniformes, rondes ou allongées, et contiennent un petit noyau rond contenant un petit nucléole unique au centre. L'anisocaryose et l'anisocytose sont limitées et le nombre de mitoses est faible. L'activité jonctionnelle est rare. En revanche, les mélanomes malins oraux canins sont généralement des mélanomes composés avec une activité jonctionnelle et une croissance verticale nodulaire profonde. Ils ressemblent beaucoup aux mélanomes cutanéo-muqueux humains du rectum ou du nasopharynx. Le degré de pigmentation est très variable.


Les mélanocytomes cutanés sont généralement des néoplasmes de petite taille, surélevés, non ulcérés, fortement pigmentés et souvent confinés au derme. L'activité jonctionnelle est moins fréquente. Les cellules néoplasiques sont bien différenciées, polygonales à spindloïdes, contiennent souvent un pigment de mélanine abondant et ont des noyaux ronds, uniformes et finement marbrés qui contiennent un nucléole proéminent. Les mitoses sont rares. Les mélanomes malins cutanés sont généralement plus grands, ulcérés, s'étendent au-delà du derme jusqu'aux tissus plus profonds, et se développent en profondeur et sont faiblement pigmentés. L'épiderme peut être atteint ou non. Les cellules néoplasiques présentent une morphologie cellulaire variable, des noyaux plus atypiques, et des mitoses plus fréquentes.

-L’emplacement d’un néoplasme mélanique sur le corps est un critère insuffisant pour y associer un comportement carcinologique. Pour autant, les mélanomes cutanés sont le plus souvent bénins alors que les mélanomes impliquant le lit ungéal, la cavité orale et toute jonction cutanéo muqueuse sont le plus souvent malin.


-Les critères associés à une diminution significative de l’espérance de vie sont distincts suivant les formes cutanées et orales du mélanome :

Forme orale et labiale /atypie nucléaire > 30% - Nombre de mitose > 4 (champs e 2,37mm² - Index Ki67 > 19,5 – Infiltration osseuse.

Forme cutanée / atypie nucléaire > 20% - Nombre de mitose > 3 (champs e 2,37mm² - Index Ki67 > 15 – Ulcération superficielle – épaisseur > 0,95cm – extension profonde au-delà du derme.


-Si les facteurs pronostiques décrits ci-dessus permettent de prédire le comportement biologique global des néoplasmes mélanocytaires, l'évaluation précise des marges chirurgicales est un élément essentiel pour déterminer la probabilité d'une récidive locale.


Une excision large de l'épithélium adjacent est essentielle pour le mélanome buccal afin d'éliminer une éventuelle propagation lentigineuse (latérale). La coupe transversale basée sur la palpation permet d'obtenir des coupes de haute qualité pour un diagnostic précis, des tests pronostiques et l'évaluation de la distance entre la tumeur et les marges latérales et profondes. L'excision chirurgicale complète est mieux déterminée par la coupe tangentielle. Dans le cas d'un cancer de la bouche, il convient d'évaluer l'invasion tumorale dans le tissu sous-jacent, par imagerie et histopathologie, le cas échéant. Pour le mélanome du lit ungeal, le doigt doit être amputé et les marges proximales de l'os et des tissus mous ainsi que les coupes longitudinales de l'os doivent être examinées.


-L'évaluation des ganglions lymphatiques locorégionaux à la recherche de métastases est un élément important du grading qui détermine la stratégie du plan de traitement. La dissémination lymphatique du mélanome est complexe. Pour exemple même si le ganglion mandibulaire est le principal site métastatique du mélanome oral chez le chien, 50 % de ces tumeurs métastasent dans d'autres ganglions, en particulier au niveau du ganglion rétropharyngé médial. Une dissémination controlatérale se produit chez 62 % des chiens atteints, tandis que les métastases ipsilatérales apparaissent chez 92 % d'entre eux.

Le bénéfice d’identifier le ganglion sentinelle de la lésion à l'aide d'un colorant radiosensible augmente la probabilité de détecter et d'éliminer d’éventuelles métastases ganglionnaires : pour autant la réalisation d'une dissection élective des ganglions du cou ne fait pas consensus. La lymphangiographie par tomodensitométrie (CT) s'est avérée insuffisante pour détecter les ganglions sentinelles, tandis que l'utilisation de la tomographie par émission de positons et de la tomodensitométrie (TEP/TDM) au 18 fluorodéoxyglucose (18 F-FDG) avec une valeur de captation standardisée (SUV) maximale de 3,3 avait une sensibilité de 100 % et une spécificité de 83 % pour la détection des métastases ganglionnaires.


La détection du mélanome métastatique par la cytologie ou l'histologie peut s'avérer difficile, mais les pathologistes peuvent utiliser certaines méthodes pour améliorer la sensibilité et la spécificité de la détection des métastases. L'aspiration à l'aiguille fine et la cytologie des ganglions lymphatiques constituent un moyen facile et peu invasif de détecter les métastases. Cependant, la sensibilité de cette méthode est faible s'il n'y a que des micrométastases, puisqu'elle peut facilement ne pas les aspirer pendant la manipulation. Le consensus entre la cytologie de routine et l'histopathologie pour la classification des ganglions lymphatiques chez les patients atteints de néoplasmes mélanocytaires est médiocre. Cependant dans une étude il semble que les formes amélanocytaires soient mieux détectées avec l'IHC pour le Melan-A sur des échantillons d'aspiration à l'aiguille fine, en particulier lorsque les cellules étaient peu nombreuses ou de morphologie ronde.

L'évaluation histologique des ganglions demeure la méthode préférée, mais à moins qu'il n'y ait des métastases manifestes, il peut être facile de manquer une zone de micrométastases lors de coupes de routine. Le premier problème est le surcoût d’une analyse millimétrique du ganglion : les laboratoires vétérinaires n'évaluent généralement que 1 à 3 sections d'un ganglion lymphatique soumis, par opposition à l'évaluation complète qui est de rigueur en médecine humaine. Des coupes spécifiques à des intervalles de 0,2 cm ont été recommandées pour l'évaluation des ganglions dans un certain nombre de néoplasmes humains et canins. Il est donc très facile de ne pas voir les micrométastases dans les sections examinées. Deuxièmement, il peut être difficile de différencier l'hémosidérine de la mélanine dans certains cas. La meilleure façon de distinguer les mélanocytes des macrophages est de réaliser une IHC pour un marqueur mélanocytaire tel que Melan-A ou PNL-2 ou de réaliser le cocktail de diagnostic mélanocytaire. Tout comme pour les mastocytes, il n'est pas toujours possible de différencier les cellules néoplasiques de celles qui ne le sont pas, mais la perturbation de l'architecture normale du ganglion lymphatique et les atypies cellulaires et nucléaires indiquent une tumeur.

Conclusion

Les néoplasmes mélanocytaires canins ont un comportement biologique variable, quelle que soit leur localisation. L'évaluation pronostique nécessite une combinaison d'évaluation microscopique ainsi que parfois la détermination immunohistochimique de l'indice Ki67. Pour les néoplasmes mélanocytaires mélanocytaires cutanés, l'épaisseur de la tumeur et l'ulcération de la lésion doivent être incluses dans cette évaluation.


Le diagnostic général des néoplasmes mélanocytaires canins est souvent réalisé à l'aide d'une aspiration à l'aiguille fine, mais l'histopathologie est nécessaire pour différencier les formes bénignes des formes malignes. La biopsie chirurgicale est très importante pour les néoplasmes mélanocytaires buccaux, car il s'agit souvent de mélanomes composés avec une large propagation intraépithéliale latérale (lentigineuse). La biopsie incision doit tenir compte de cette caractéristique et doit adresser un épithélium périphérique intact. Une excision large augmente également la précision du diagnostic en permettant au pathologiste de rechercher des zones de jonction. Le mélanome amélanotique doit être différencié des sarcomes des tissus mous. Un cocktail immunohistochimique contenant des anticorps contre Melan-A, PNL-2, TRP-1 et TRP-2 sont actuellement la référence pour identifier les néoplasmes mélanocytaires.


Comme les mélanomes malins oraux métastasent facilement dans les ganglions lymphatiques tributaires, il est nécessaire d'identifier les ganglions lymphatiques sentinelles pour mise en œuvre d’une évaluation histologique qui de manière optimale associerait des coupes sériées à 2 mm combinées à un marquage immunohistochimique (Melan-A et PNL-2).