Un cas de maladie de Cushing original chez une chienne

Partager ce poste

Par Dr Cécile DOR, DipECVIM, spécialiste en médecine interne.

Anamnèse

Jaya, chienne Bull Terrier femelle entière de 7 ans est référée au CVS Azurvet pour polyuro-polydipsie (prise de boisson estimée à 150mL/kg/j), polyphagie, distension abdominale, et alopécie diffuse tronculaire évoluant depuis 3 mois. Une boiterie avec appui du membre pelvien gauche est également rapportée depuis 2 semaines.

Examen clinique

A l’examen clinique, la chienne présente une discrète amyotrophie généralisée malgré un état d’embonpoint modéré (NEC = 6/9).


L’examen à distance permet de documenter des lésions cutanées multifocales sévères avec notamment des zones alopéciques diffuse multifocales en région axillaire bilatéralement, caudalement aux pavillons auriculaires, sur la face palmaire des avants bras et face plantaire des métatarses. Des plaques cutanées alopéciques épaissiee, en relief, indurées et croûteuses sont également notées en région cervicale et tronculaire dorsales. La peau présente un « aspect cartonné » sur la ligne du dos. Une télangiectasie et des comédons sont également notés sur l'abdomen.

Les muqueuses gingivales sont roses et humides, le patient ne présente pas de signe de déshydratation clinique, sa température rectale est dans les valeurs usuelles. L’auscultation cardiopulmonaire ne révèle pas d’anomalie majeure. L’abdomen est distendu, une hépatomégalie est objectivée à la palpation abdominale.

Un gonflement des tissus mous avec douleur à la palpation est identifié en regard de la face plantaire et médiale des métatarses gauches.

Investigations diagnostiques

Afin d’explorer la cause de la PUPD, polyphagie, distension abdominale et alopécie, un bilan sanguin, urinaire et endocrinologique est réalisé. Le bilan hématobiochimique montre une augmentation marquée de l’enzymologie hépatique en faveur d’une hépatopathie choléstatique (PAL = 1380U/L, ALAT = 429U/L), une hypercholestérolémie, ainsi qu’une discrète leucocytose neutrophilique. L’analyse d’urine révèle des urines hyposthénuriques (DU 1.006), ainsi qu’une protéinurie marquée d’origine rénale (RPCU = 1.97) sans signe d’infection du tractus urinaire. Le test de stimulation à l’ACTH est en faveur d’un hyperadrénocorticisme (cortisol à T0 = 293nmol/L, cortisol à T0+1h > 827nmol/L). La mesure de pression artérielle montre une hypertension artérielle systémique modérée (PAS = 170mmHg).

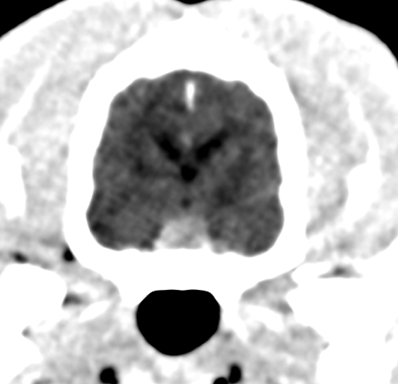
Afin de déterminer la forme d’hyperadrénocorticisme (hypophysaire ou surrénalienne), un examen tomodensitométrique de l'encéphale et de l’abdomen sont réalisés. Ces examens révèlent un macroadénome hypophysaire ainsi qu’une hypertrophie bilatérale des glandes surrénales (images 1a et 1b). Un dosage de l’ACTH endogène élevé vient confirmer le caractère sécrétant de cette masse pituitaire à l’origine de la maladie de Cushing du patient.

Ultérieurement, des radiographies du thorax et du membre pelvien gauche, réalisés dans le cadre de l’exploration d’une polypnée et de la boiterie mentionnée à l’admission, montrent de très nombreuses minéralisations dystrophiques cutanées (calcinosis cutis), bronchiques, muscuclaires et tendineuses, secondaires à l’hyperadrénocorticisme (images 2a, 2b et 2c).

Images 1a & 1b : Image 1a (gauche) = Coupe transverse tomodensitométrique de l’encéphale, post-injection d’iohexol, montrant une masse pituitaire de 7,5mm d’épaisseur. Image 1b (droite) = Coupe transverse tomodensitométrique de l’abdomen montrant une augmentation de taille des surrénales bilatéralement.

Images 2a, 2b & 2c : Vues radiographiques de profil du membre thoracique gauche (gauche) et du membre pelvien droits (milieu), et vue radiographique du profil thoracique gauche (droite) montrant une calcinosis cutis généralisée et marquée associée à des minéralisations dystrophiques musculaires et tendineuses/ligamentaires ainsi que bronchiques.

Traitement

Un traitement au trilostane est mis en place, à raison de 1mg/kg per os matin et soir, afin de réduire la production de cortisol endogène, et donc de réduire des symptômes associés. Un traitement anti-protéinurique, anti-hypertenseur est également initié à base de bénazepril 0.5mg/kg per os matin et soir.

La propriétaire rapporte une nette amélioration clinique initiale avec résolution de la PUPD et de la polyphagie dans les 10 jours ayant suivi l’initiation du traitement, puis une anorexie, des vomissements et de la diarrhée, 2 semaines après le début du traitement. Un bilan sanguin montre une cortisolémie basale basse (<27nmol/L) ainsi qu’un ionogramme dans les valeurs usuelles, en faveur d’un hypocorticisme iatrogène. Le traitement au trilostane est arrêté pendant 10 jours puis repris à 0,6mg/kg matin et soir. La propriétaire rapporte une récidive des symptômes 1 semaine après la reprise du traitement avec cette fois un abattement très marqué. La cortisolémie basale est de nouveau basse (<27nmol/L), avec cette fois apparition de troubles électrolytiques en faveur d’un panhypoadrénocorticisme iatrogène (déficit en cortisol et aldostérone) avec hyperkaliémie (K+ = 6,6mmol/L), hyponatrémie (Na+ = 124mmol/L), et rapport Na/K bas (Na/K = 18,5).

Chez ce chien, l’hyperadrénocorticisme a progressé vers un hypoadrénocorticisme secondairement à l’administration de trilostane. Ce traitement est donc arrêté. À la suite de quelques jours d’hospitalisation sous fluidothérapie ayant permis de normaliser les troubles électrolytiques, de la prednisolone est prescrite à dose physiologique (0.1mg/kg/j), afin de traiter le déficit en glucocorticoïdes. Une injection de pivalate de désoxycorticostérone (Zycortal) est réalisée (1,5mg/kg SC) afin de traiter le déficit suspecté en minéralocorticoïdes. Une échographie abdominale de contrôle montre une nette diminution de taille des glandes surrénales en faveur d’une atrophie/nécrose surrénalienne. Deux mois après cet épisode, les ionogrammes de contrôles réguliers n’ont pas montré de récidive des anomalies électrolytiques, ne justifiant pas d’injections répétées de Zycortal.

Discussion

Les cas d’hypoadrénocorticisme iatrogène secondaires au trilostane chez les chiens atteins d’hyperadrénocorticisme hypophysaire ne sont pas rares. Une étude rétrospective menée chez 156 chiens atteints d’hyperadrénocorticisme traités au trilostane rapporte qu’environ 15% d’entre eux ont développé un hypoadrénocorticisme au cours des deux premières années de traitement et environ 25% au cours des quatre premières années de traitement (Kinga & Morton 2017). L’hypoadrénocorticisme iatrogène est transitoire dans la plupart des cas (75% des cas). Néanmoins, il peut parfois devenir permanent (25% des cas). La dose de trilostane administrée n’a qu’une faible influence sur le risque de développement de cette complication (Kinga & Morton 2017).

De manière générale, la taille des glandes surrénales augmente au cours du traitement au trilostane chez les chiens atteints d’hyperadrénocorticisme hypophysaire (Mantis et al. 2003). En effet, si le trilostane inhibe la cascade enzymatique responsable de la synthèse de cortisol par le cortex surrénalien, il ne diminue en aucun cas la quantité d’ACTH endogène produite par l’hypophyse. Chez les chiens atteints d’hypoadrénocorticisme iatrogène, la taille des glandes surrénales n’a jamais été étudiée de manière systématique. Comme documenté chez Jaya, une diminution de taille des glandes surrénales associée à un parenchyme surrénalien hyperéchogène a été rapportée chez un cas (Ramsey et al. 2008).

Biobliographie

Kinga JB, Morton JM. Incidence and risk factors for hypoadrenocorticism in dogs treated with trilostane. The Veterinary Journal. 2017. 230;24–29.

Mantis P, Lamb CR, Witt AL et al. Changes in ultrasonographic appearance of adrenal glands in dogs with pituitary-dependent hyperadrenocorticism treated with trilostane. Veterinary Radiology & Ultrasound. 2003. 44(6); 682-685.

Ramsey IK, Richardson J, Lenard Z, et al.  Persistent isolated hypocortisolism following brief treatment with trilostane. Aust Vet J. 2008. 86;491–495.