Question du mois : Conduite à tenir face à une fracture humérale en Y ou en T

Partager ce poste

Par le Dr. Bastien Dekerle, DipECVS, Spécialiste en Chirurgie des Petits Animaux

Conduite à tenir face à une fracture humérale en Y ou en T 



Les fractures humérales en Y ou en T sont des fractures distales impliquant la surface articulaire. Il s’agit du point le plus critique mais le traitement de ces fractures s’avère compliqué pour d’autres raisons : 

Structures nerveuses d’importance autour du foyer de fracture : nerfs ulnaire, médian et radial ; 

Réduction rendue difficile par la présence d’au moins 3 fragments (voire plus si multiesquilleux) ; 

Peu de stock osseux disponible distalement : principalement le condyle huméral et les épicondyles dont le volume est limité par la présence du foramen supratrochléaire ; 

Contexte d’instabilité renforcé par l’articulation du coude sous-jacente, articulation complexe qui met en contact 3 os (radius, ulna et humérus). 


Ainsi le traitement chirurgical constitue un défi avec trois lignes de conduite à respecter : 

Restauration parfaite d’une surface articulaire pour limiter le développement d’un cal osseux et d’arthrose à moyen- et long-terme ; 

Restauration d’une longueur et d’un alignement corrects de l’os huméral ; 

Implants de taille suffisante pour permettre une reprise d’appui rapide et ainsi une rééducation fonctionnelle visant à limiter l’ankylose articulaire. 



Anatomie 

L’humérus distal est composé d’un condyle, de deux épicondyles (médiale et latérale) encadrant le foramen supratrochléaire (fermé chez le chat, présent mais occlus par une membrane chez le chien) et se poursuivant par le fût huméral proximalement. 

Le nerf radial est présent latéralement (innervation du triceps et des extenseurs, ie permettant l’appui du membre au sol) ; les nerfs médian (crânial) et ulnaire (caudal) sont présents médialement. 


Fonction 

L’humérus distal s’articule avec la tête radiale et l’incisure trochléaire ulnaire respectivement latéralement au niveau du capitulum et médialement au niveau de la trochlée. Plusieurs ligaments sont présents et assurent une stabilité articulaire : huméroradial et huméroulnaire notamment. Ces ligaments sont généralement intègres en cas de fracture en Y ou en T. Ils doivent être identifiés et conservés lors de l’abord chirurgical. 


Abord 

Il est souvent nécessaire de réaliser un abord double : médial et latéral, particulièrement si la fracture est difficile à réduire. Il permet d’assurer un meilleur maintien de l’alignement des surfaces articulaires entre le condyle huméral et la tête humérale (conservation de l’axe osseux). 


Réduction 

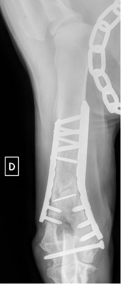
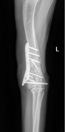
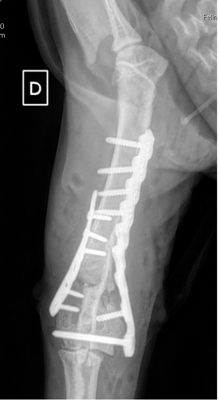
La réduction de ces fractures est rendue difficile par la présence de multiples fragments et l’instabilité inhérente à la présence du radius et de l’ulna distalement. L’objectif premier est d’assurer une réduction adéquate de la surface articulaire via une vis intracondylaire solide et de taille adéquate (environ 30 à 40% de la hauteur du condyle). Idéalement, cette vis est à incorporer au sein du trou distal de la plaque (exemple 1 et 2) car il s’agit du point d’ancrage le plus solide distalement. A défaut et de par sa cranialisation nécessaire, elle peut être placée en dehors du montage (exemple 3). De nombreuses divergences existent quant au placement de cette vis intracondylaire : historiquement placée en compression pour réduire au mieux la surface articulaire, elle est maintenant souvent placée en vis de position, conférant plus de résistance du montage. Après réduction de la fracture condylienne, de petites broches peuvent permettre de réduire la fracture si celle-ci est reconstructible. A défaut, une réduction sous plaque est réalisée. 


Stabilisation 

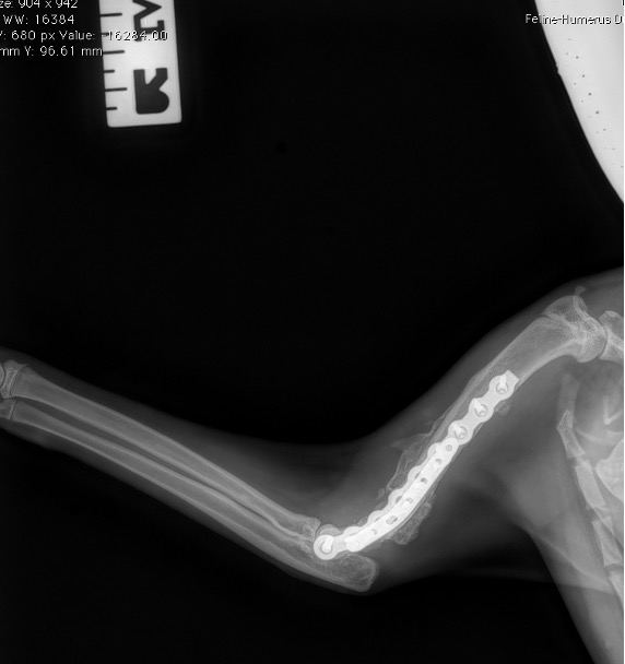
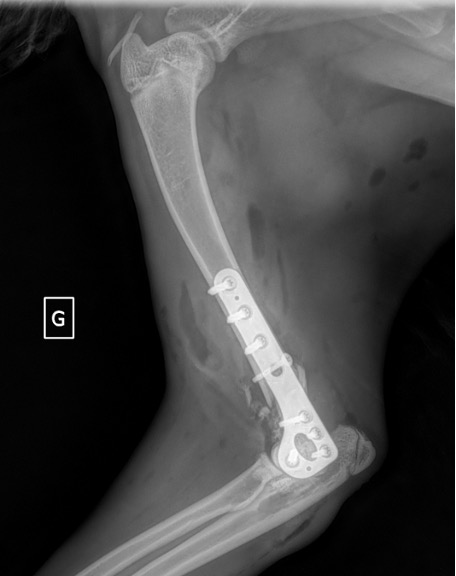
Notre préférence va vers le placement de deux plaques humérales : une médiale de la plus grande taille possible et l’autre latérale, généralement d’une taille inférieure à la première. Dans l’exemple 1 (chat européen), une plaque de 2 mm est utilisée médialement et une plaque de 1,5 mm latéralement. Dans l’exemple 2 (chien Malinois), une plaque de 3,5 mm est utilisée médialement et une plaque de 2,7 mm latéralement. 

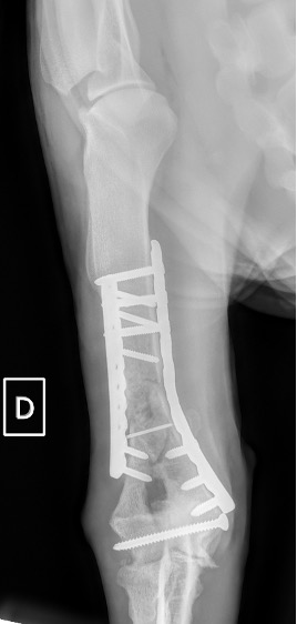
L’avènement récent des plaques anatomiques constitue une nouvelle option dans le traitement de ces fractures : dans l’exemple 3 (chat Ragdoll), une plaque anatomique médiale de 2 mm acceptant des vis de 1,6 et 2 mm a été utilisée seule avec succès. 

A savoir que d’autres options de stabilisation peuvent être considérées : clou plaque, fixateur externe, association plaque et fixateur et bien d’autres.  


Postopératoire 

Un repos strict est de rigueur en post-opératoire : les sauts, jeux, courses sont interdits les premières semaines et réadapatés selon les résultats du premier suivi radiographique. Néanmoins, la position juxtaarticulaire de la fracture justifie la réalisation précoce de mouvements doux de rééducation (flexion et extension) visant à limiter l’ankylose articulaire. 

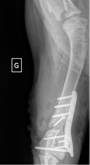
Généralement deux suivis radiographiques sont réalisés : le premier à 1 mois et le second à 2 mois. 

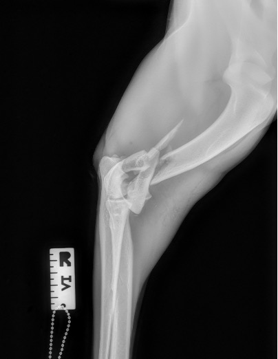
Exemple 1 :

Figure 1 : Pré-op

Figure 2 : Post-Op Immédiat

Figure 3 : Post-Op 1 Mois

Figure 3 : Post-Op 2 Mois

Exemple 2 :

Figure 4 : Pré-Op

Figure 5 : Post-Op Immédiat

Figure 6 : Post-Op 1 mois

Figure 7 : Post-Op 2 mois

Exemple 3 : 


Figure 9 : Pré-Op

Figure 10 : Opération

Figure 11 : Post-Op Immédiat

Figure 12 : Post-Op 1 mois