Quizz du mois : Que voyez-vous dans cette cytoponction à l’aiguille fine ?

Partager ce poste

Par le Dr. Vét. Marco ZINGARIELLO, ancien résident ASVP, spécialiste en Biologie Clinique

Que voyez-vous dans cette cytoponction à l’aiguille fine ?

Chien, 8 ans, Golden Retriver.

Masse sous-cutanée d’environ 5 à 6 cm, ferme, de consistance semi-dure, localisée à la partie proximale et latérale de la patte antérieure droite (région de l’épaule).


Votre diagnostic est un... :

1️⃣ - Carcinome

2️⃣ - Sarcome

3️⃣ - Plasmocytome

4️⃣ - Mélanome

Cytoponction à l’aiguille fine (CPAF) ; coloration May-Grünwald Giemsa (MGG)

Réponse correcte : 2, un sarcome


L’examen histologique de la masse a confirmé la présence d’un sarcome des tissus mous, plus précisément d’une tumeur des gaines périvaculaires (communément appelée hémangiopéricytome).

Les tumeurs des gaines périvaculaires (perivascular wall tumors, PWT) font partie du groupe des sarcomes des tissus mous (soft tissue sarcomas, STS).


Chez le chien, les sarcomes des tissus mou (STS) constituent un ensemble hétérogène de néoplasmes mésenchymateux malins, représentant environ 8 à 15 % de toutes les tumeurs cutanées et sous-cutanées. Ils se caractérisent par un comportement localement agressif, mais une faible propension à la métastase.

La récidive locale après résection chirurgicale, qui demeure le traitement de choix, représente la principale cause d’échec thérapeutique dans la prise en charge des STS.

Les types histologiques les plus fréquemment diagnostiqués chez le chien comprennent le fibrosarcome, la tumeur de la gaine nerveuse périphérique (schwannome, neurofibrosarcome), l’histiocytome fibreux malin, les tumeurs des gaines périvaculaires (anciennement appelées hémangiopéricytomes), ainsi que le liposarcome.

D’autres sarcomes, tels que l’hémangiosarcome, l’ostéosarcome, le sarcome synovial, le chondrosarcome et le lymphangiosarcome, sont généralement exclus de ce groupe en raison de leur comportement local plus agressif et de leur taux de métastases plus élevé.


Tumeurs de la paroi périvasculaire (PWT)

Les tumeurs de la paroi périvasculaire sont définies comme des néoplasmes dérivant des différents composants cellulaires de la paroi vasculaire, à l’exception de la couche endothéliale (qui constitue la couche la plus interne du vaisseau).

Ces tumeurs sont relativement fréquentes chez le chien, représentant jusqu’à 7 % des néoplasmes cutanés. Comme pour les autres sarcomes des tissus mous, la chirurgie demeure le traitement de choix. Les métastases sont rares, mais la récidive locale est relativement fréquente, en particulier lorsque la localisation anatomique — souvent au niveau des extrémités — rend difficile l’obtention de marges chirurgicales complètes.

Les cellules néoplasiques proviennent le plus souvent des péricytes (hémangiopéricytome) ou des myopéricytes (myopéricytome, myome), cellules situées dans la paroi des vaisseaux sanguins, à proximité immédiate de l’endothélium.

Les tumeurs des gaines périvaculaires sont généralement solitaires et se développent préférentiellement au niveau des articulations des membres, bien qu’elles puissent également être observées dans la région thoracique ou abdominale. Macroscopiquement, elles sont fermes à molles, souvent multilobulées et bien circonscrites.

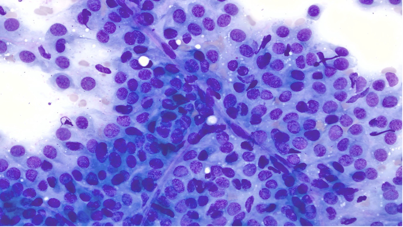
Sur le plan cytopathologique, les préparations sont modérément à fortement cellulaires. Les cellules néoplasiques, de forme ovale à fusiforme et d’aspect charneux, peuvent être observées isolées ou disposées en faisceaux, et sont parfois adhérentes à la surface des capillaires.

Mise en évidence de la présence de capillaires sanguins entourés de cellules néoplasiques

Le cytoplasme est basophile, souvent pourvu de fines et longues prolongations, et peut contenir de petites vacuoles optiquement vides.

Mise en évidence des fins prolongation du cytoplasme

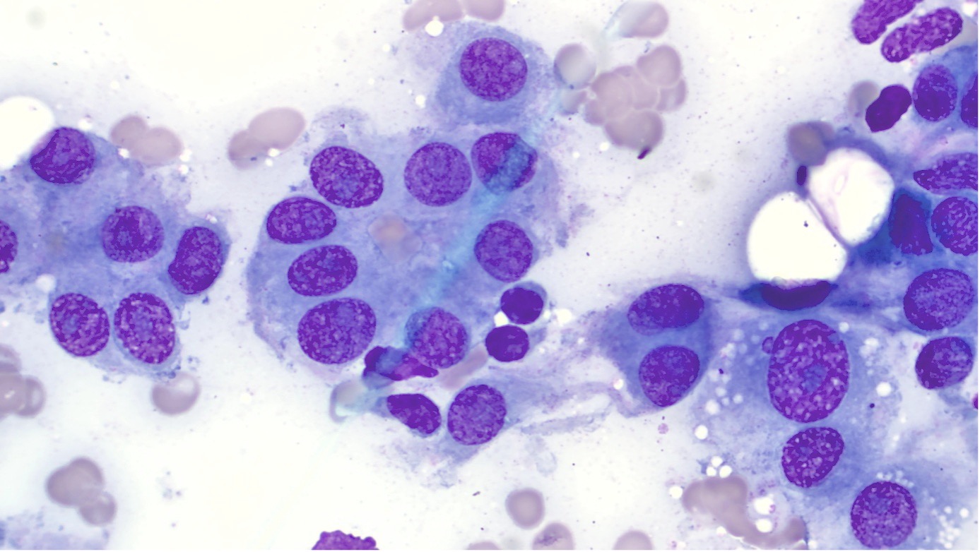
Les noyaux sont ovoïdes, comportant un ou plusieurs nucléoles centraux proéminents et une chromatine finement réticulée. La présence de cellules binucléées (mosquito cells) ou multinucléées (cellules en couronne ou crown cells) est typique de ce type de tumeur.

Mise en évidence de cellules bi-, multi-nuclées

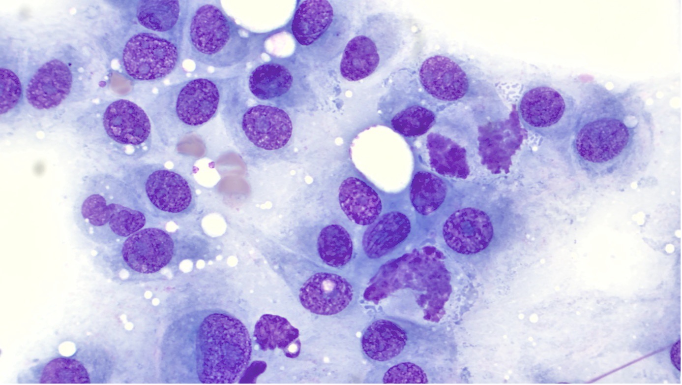
L’anisocytose et l’anisocaryose sont le plus souvent modérées, parfois modérées à marquées. Les figures de mitose sont généralement rares à occasionnelles.

Mise en évidence des figures de mitose

L’évaluation cytologique ne permet pas de distinguer avec certitude les différents types de tumeurs des gaines périvaculaires (PWT) chez le chien, mais elle suggère fortement une origine périvasculaire de la prolifération tumorale.

La présence simultanée de capillaires et de cellules bi- et multinucléées doit être considérée comme caractéristique des PWT canins, cette association cytologique étant unique et non observée dans les autres types de tumeurs cutanées à cellules fusiformes chez le chien.